Aicardi-Goutières综合征,知多少?
发布日期:2022-10-08 15:26:09 来源:中华医学会科学普及部

什么是Aicardi-Goutières综合征?

作为普通百姓,对这个带有英文名称的疾病可能了解甚少,那么,笔者就带大家学习一下这个疾病。Aicardi-Goutières综合征(AGS)是一种全身多系统受累的自身炎症性疾病,与I型干扰素信号通路持续激活相关,因此,也属于I型干扰素病,是目前为发病率最高的I型干扰素病之一。最早可在出生后发病,可以累及神经、皮肤、血液、肺脏、甲状腺等多个系统,还可伴有自身免疫性疾病的特点。严重者可遗留严重的神经系统后遗症,甚至可危及生命哦!


要如何识别AGS呢?

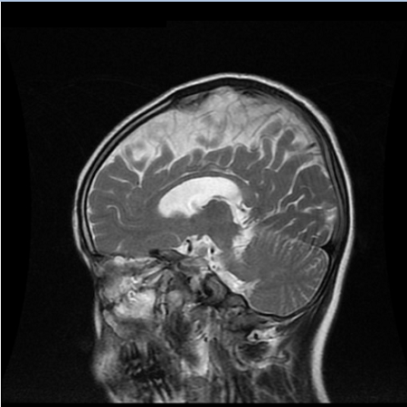
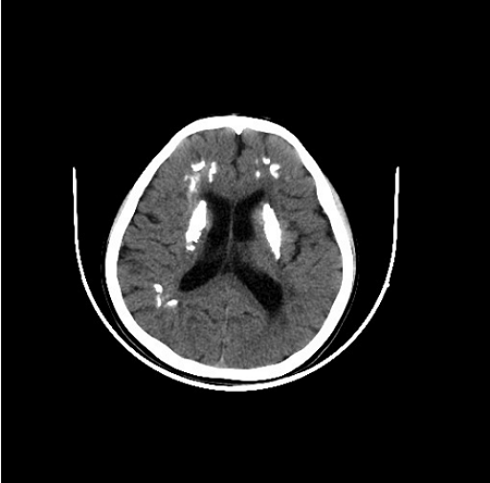
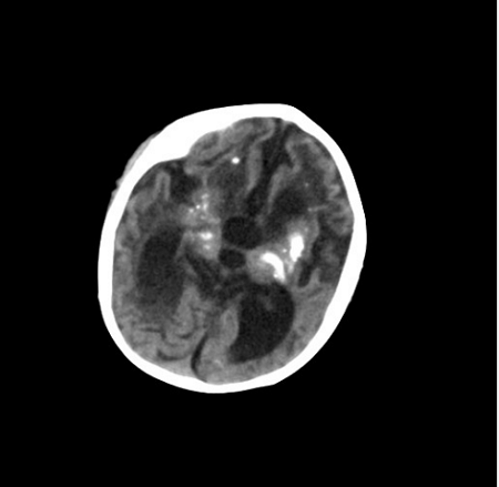
AGS临床表现非常的多样,个体间的差异也较大。多数患儿在3岁前就发病了,最常见的症状为颅内钙化、脑白质病变、脑萎缩,可伴有肌张力增高(就是肌肉紧张度增高)、运动发育落后、语言发育落后、小头畸形,伴或不伴智力发育落后等。其中颅内钙化在头颅CT上显示较清楚,多为双侧,主要分布于基底节区(图1)。脑白质病变在头颅MRI上显示较清楚,可累及脑室周围、皮质下白质、额叶和颞区等部位(图2)。脑萎缩主要显示为脑室周围区域和脑沟的扩大(图3)。也有患儿以反复发生冻疮样皮疹为突出表现,多发生在四肢末端、耳朵、面部和肘部等部位(图4),这些孩子的皮疹在冬天加重,气温变暖后可好转。如孩子出现上述症状,需及时到医院就诊。其他的临床表现还包括发热、癫痫、白细胞减少、贫血、血小板减低、转氨酶升高、肝脾肿大、肺部间质病变、甲状腺功能减退或者亚临床甲状腺功能减退、胃食管反流、关节肿胀或疼痛。轻度肺间质病变可以仅表现为肺部影像学的异常,严重者可以出现咳嗽、呼吸困难等症状。如果孩子出现了上述表现,家长切莫大意,要及时带孩子到正规医院就诊哦!


图1  

图2 

图3 

图4  


那么,如何确诊Aicardi-Goutières综合征呢?

当医生怀疑孩子是AGS时,需要给孩子进行基因诊断,目前同AGS相关的基因共有9个,包括TREX1、RNASEH2B、RNASEH2C、RNASEH2A、SAMHD1、ADAR1、IFIH1、LSM11、RNU7-1。不同的基因导致的AGS之间,临床表现具有相似性。


诊断后如何进行评估呢?

通过智力测试评估孩子的整体发育情况,同时注意孩子有没有神经系统、皮肤、肺脏等相应系统症状。辅助检查包括干扰素刺激基因检测,以及C反应蛋白、血沉、血常规、肝肾功能、尿常规、甲状腺功能、自身免疫抗体等化验检查,肝胆胰脾超声、脑电图、头颅CT、头颅磁共振、胸部高分辨CT等、关节超声辅助检查,以及腰椎穿刺,根据脑脊液常规、生化及病原学检查,评估孩子颅内是否存在炎症。


诊断后应如何治疗AGS?

目前,JAK抑制剂可以阻断I型干扰素信号通路,已被用于治疗AGS,治疗过程中,需定期复查血常规、肝肾功能及评估有无潜在感染。对于不同系统出现的症状,可予对症支持治疗,后期需长期规律随诊,及时调整用药。


作者:王伟 中国医学科学院北京协和医院

审核:宋红梅  中国医学科学院北京协和医院  主任医师



Produced By 大汉网络 大汉版通发布系统