有一种胃肠道肿瘤,本身并不可怕,可怕的是它的并发症!
发布日期:2022-12-02 15:19:05 来源:中华医学会科学普及部

胃肠道疾病,比如胃炎、肠炎、胃癌、肠癌,大家都很熟悉,但是胃肠道间质瘤,大家可能会比较陌生。胃肠间质瘤是近20年才被认识的,20年前医学教科书里还没有这个疾病。

提起瘤,大家难免会想到恶性肿瘤,老百姓通常会把恶性肿瘤和癌症画上等号,实际上在医学领域,恶性肿瘤分两类,一类是癌症,一类是肉瘤。

我们常说的胃癌、肠癌等都属于癌症一类,而骨癌(骨肉瘤)、血癌(白血病)等则属于肉瘤一类,今天提到的胃肠间质瘤是属于肉瘤的一种,也就是说,胃肠道间质瘤属于恶性肿瘤。


一、胃肠道间质瘤是什么原因引起的?

到现在为止胃肠道间质瘤没有证据证明和生活习惯、饮食习惯有关。

胃肠道间质瘤被认为和异常的基因改变有关,比如PDGFRA基因突变,是胃肠道间质瘤发病的主要因素。还有KIT基因特异性突变,可能会导致肿瘤生长,或者使肿瘤开始往恶性的方向发展。KIT基因突变不光跟胃肠道间质瘤有关系,很多KIT基因突变的患者身体会出现异常性的黑斑病变,有这种黑斑的人群要注意,建议查一下KIT基因。

那么,胃肠道间质瘤和遗传有关吗?其实胃肠道间质瘤的遗传因素研究进展不是特别快,一是这个疾病才出现20年,对它的研究还不是很彻底,另外胃肠道间质瘤发病率相对比较低,发病例数比较少,很难去做遗传性分析。

现在有一些文献报道,有些间质瘤患者是与遗传相关的,非常少数的人从生下来就携带KIT突变基因,可能在一生中注定要得胃肠道间质瘤,而这种基因突变也是有可能遗传下去的,他的子代里面可能生下来也会携带着KIT突变基因,也会导致这个疾病的发生。也有可能出生时没有携带KIT基因突变,在生长发育过程中出现了KIT基因突变,也有可能遗传给下一代,进而导致发病。


二、胃肠道间质瘤能早点发现吗?

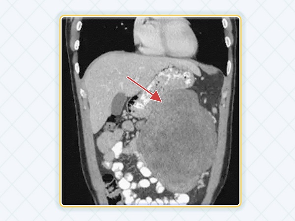
胃肠道间质瘤多发生在胃、小肠、直肠等部位,少部分也可能出现在胃肠以外的地方,比如腹腔。



从生长来源看,很多癌症会出现在器官的上皮层,也就是器官最表面的一层,有症状能感觉出来,胃肠道间质瘤却不同,它多出现在中间层,而且大多数间质瘤是往外长,不往胃腔或肠腔里边长。腹腔的空间是比较大的,如果肿瘤往外长,长到腹腔里面,一般几公分大的肿瘤很多人是感觉不出来的,甚至没有任何的症状。

所以胃肠道间质瘤在早期并不太容易被发现,往往都是在体检时发现。如果病变比较大了,有些能摸出来。

胃肠道间质瘤长得非常大时,有很多患者以出血为表现,因为间质瘤也会往腔内长,侵犯到上皮层,有可能会造成出血,以出血为首发症状的比例还是很高的,至少占30%-40%,特别是小肠间质瘤经常以出血为首要表现。



所以莫名其妙消化道出血了,到处找不到原因,要警惕可能是小肠来源的间质瘤。因为小肠来源的间质瘤,小的病变CT有时候照不出来,普通肠镜也看不到小肠,所以小肠间质瘤容易被漏掉。


三、如何确诊胃肠道间质瘤?

刚开始发现都是通过影像学,比如CT、B超、磁共振,看到体内长个东西。还有一种情况是通过胃镜,发现胃里、肠道里长了东西。但是这些检查都是辅助检查,不能做出明确诊断,需要进一步取活检做病理检查,病理检查是诊断胃肠道间质瘤的金标准。

怎么取活检?比如在胃镜下看到病变,可以尝试胃镜下取活检,长在胃黏膜下边胃镜一般取不到,可以拿一根细针穿刺取活检,这是常用的方式。比如长在腹腔里,可以透过腹壁进行穿刺取活检。如果肿瘤一看就能切除,就不要穿刺取活检了,完整切下来做大病理就可以了。


四、胃肠道间质瘤会转移吗?会有什么并发症?

有很多胃肠道间质瘤表现得比较良性,处于静止状态,不生长,不会发生转移。对于非常小的间质瘤,可以先观察它,看它长不长。少数胃肠道间质瘤可能会慢慢长大,也可能会转移到其他地方,会侵犯其他脏器,继而引发并发症,有些间质瘤患者其实并不是死于这个疾病本身,而是死于并发症。

胃肠道间质瘤最重要的并发症是出血,因为胃肠道间质瘤自己可以生成新生血管,血液供应很丰富,在外力作用下,或者生长速度过快时,可能会自发性破裂,造成大出血,止血不及时可能会危及生命。

肿瘤长大后可能会压迫周围脏器,比如压迫肠道、泌尿系统,造成肠梗阻和泌尿系梗阻,可能会导致脏器衰竭,给患者生命带来威胁。

以上这些并发症都是到比较晚的时候,肿瘤长得比较大时容易发生。


五、胃肠道间质瘤怎么治疗?

胃肠道间质瘤小于2cm,生长缓慢,建议先不干预,观察就可以。如果有长大的趋势,则需要治疗。病变比较小,手术能完全切除,那么首选手术切除,很多患者通过手术切除能完全治愈。

有些患者手术切除后又复发了,出现肝转移或广泛腹腔转移,不能再次做手术了,也有很多患者刚发现时已经有转移了,也不能手术切除了,这些情况要以药物治疗为主。

随着最近15年医学的发展,有很多新药物上市,叫分子靶向药物,现在研发的分子靶向药物是针对KIT基因突变的,治疗非常精准,疗效非常好。有了这些药物以后,原先的化疗药就被替代了,现在放疗用得也极少了,更多的是用分子靶向药物治疗,而且分子靶向药物都是口服的,很方便。



到现在为止全世界,包括我们国内,一共批准了三种分子靶向药物,用于胃肠道间质瘤的治疗,分别是伊马替尼、舒尼替尼、瑞格菲尼。一线治疗选择伊马替尼,就是先用伊马替尼治疗,伊马替尼耐药没效后换用舒尼替尼,舒尼替尼没效后换用瑞格菲尼。

到现在有很多胃肠道间质瘤患者彻底治愈了,有些患者单纯通过手术就治愈了,有些患者手术联合药物治疗治愈了。不能手术长期服药的患者,有很多服药已超过十年,每次复查体内已经看不到明显的病变了,希望随着服药时间延长,也能够达到治愈。

作者:李健    北京大学肿瘤医院消化肿瘤内科 主任医师

审核:郑加生 首都医科大学附属北京佑安医院 主任医师



Produced By 大汉网络 大汉版通发布系统