牙齿矫正有年龄限制吗?
发布日期:2023-06-26 15:01:01 来源:中华医学会科学普及部

  儿童的牙齿不齐、咬合不好,是早发现、早解决,还是等到12岁左右牙齿长完再说?

这是很多家长遇到的问题。今天就让我们来了解一下儿童正畸治疗的时机!

首先,来了解一下儿童牙齿的发育。每个儿童基本从6月龄左右长第一颗乳牙,到2.5岁左右所有乳牙萌出完毕,上、下颌各10颗,这个阶段称为乳牙期;6岁左右,在下颌乳磨牙的末端,开始萌出第一颗恒牙(六龄齿),上、下前牙开始逐步替换,一般从6岁持续到12岁左右,这个阶段称为替牙期;待上、下颌所有牙齿完全替换萌出,所有乳牙替换完毕,进入恒牙期。

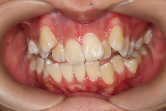
生活中最常见的错颌畸形问题就是牙齿不齐,在我国儿童、青少年中发生率高达70%。牙齿好不好,直接关系到口腔功能,甚至是颜值。那么,对于儿童,牙齿矫正是越早越好吗?

对于牙齿不齐,建议在儿童恒牙全部萌出后(即12~13岁)进行矫正最佳,此时恒牙完成替换,骨头的改建、修复能力好,正畸治疗的牙齿移动也会比较顺利。

此外,过早戴牙套有时会给儿童带来一些不利。比如,戴牙套期间,幼儿会有不适感,导致其无法积极配合,将延长治疗时间,影响矫治效果。同时,戴牙套后,增加了刷牙难度,牙齿刷不干净,会导致龋齿、牙龈炎症等各种问题。等到了恒牙期,牙齿不齐真正需要矫正的时候,儿童已经丧失了积极合作的意愿。且不是所有的儿童都需要早期干预。对于儿童的错颌畸形,因为涉及牙列发育、颌骨发育甚至面型等,家长要有大局观念,既不能耽误最佳的矫正时机,又不能操之过急。其实,很多替牙期出现的牙齿问题,如牙齿歪七扭八、里出外进、门牙不齐、牙齿有缝等,往往是一过性表现,随着牙齿替换和颌骨发育会有所缓解。即便问题依旧存在,待恒牙期再一次性解决这些单纯的牙齿问题也来得及。



但有些错颌畸形需要早期干预。

第一,儿童乳牙早失。儿童一般在6岁左右开始启动牙齿替换,乳前牙先脱落,其次是第一乳磨牙,最后是上颌乳尖牙,这一过程持续到12岁左右。但如果乳牙因为龋坏、外伤等原因提前脱落或被拔除,而恒牙半年内不会萌出,为了避免间隙缩小,导致恒牙错位或阻生,应尽早戴间隙保持器,为恒牙占位。

第二,儿童“地包天”,学名前牙反𬌗,即下牙盖住上牙,涉及牙齿和颌骨的错位问题。一般选择儿童能配合治疗的3~5岁,或上、下前牙替换完成的8~11岁。而6~8岁一般是前牙替换阶段,影响矫治后续效果,同时前牙处于替换期,无法顺利佩戴矫治器。



第三,不良习惯导致的牙齿问题。比如,长期吮吸拇指、咬下唇,将导致上牙前突、下颌后缩,即生活中常见的龅牙、小下颌,不仅影响儿童的容貌,且前突的门牙增加了受外伤被磕断的风险。

第四,口呼吸习惯导致的牙齿问题。很多家长受网络影响,认为儿童睡觉闭不拢嘴就是口呼吸,担心影响容貌而迫切要求早期矫正。事实上,口呼吸要同时满足长期张口和用口呼吸2个条件,一定是鼻呼吸不通畅才被动选择用口呼吸,遇到这种情况首先应到耳鼻喉科就诊,排查并治疗上气道阻塞问题,然后才是正畸治疗。

再次强调,正畸治疗并非越早越好,建议儿童7岁以后每年进行一次口腔检查,请口腔正畸专科医生帮儿童把握最佳的矫正时机。家长需要做的是,和儿童一起,认真刷牙,建立良好的口腔卫生习惯。事实上,正畸治疗并没有严格的年龄限制,在任何时候,我们都可以在医生的指导下进行正畸治疗。

姓名:姚鸿远  北京大学口腔医院

审核:高雪梅  北京大学口腔医院  主任医师



Produced By 大汉网络 大汉版通发布系统